|
| インプラント,顎提増生 愛媛県今治市 64歳 男性 |
 |
| とても気の毒な状態です。上顎は左上の一番奥の歯しかもちません。
下顎の臼歯部は全滅です。 |
|
1/31
|
|
|
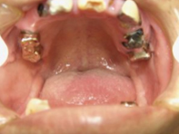
| 見てのとおりとても気の毒な状態です。どこで噛んでいるのかわからない状態です。
左上の糸切り歯はグラグラしていて痛みも伴います。 左上の1・2・3あたりのお肉がいたんでいる状態を見ておいてください。
あとで治っているのがわかります。 |
|
2/31
|
|
|
よく我慢されていたと思います。
左上2番の根元あたりがかなりへっこんで吸収されて傷のようになっているのをよく見ていてください。
いずれ歯肉がふくらんできます。この部分には2回弁の手術を行っています。
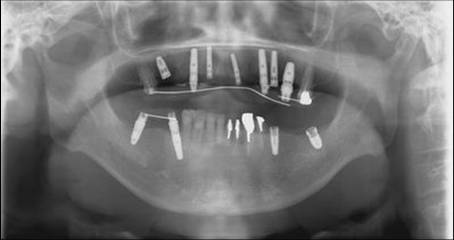
治療計画
- 上顎8本、下顎4本の設定でいきます。上顎はかなり大きいため、6本よりも8本の方が安全でしょう。
- 右側より始まります。かみあわせの挙上のため、上下一挙に行っていきます。
- 左側も基本的には上下同時埋入。術後、仮歯をつけます。(紹介患者さんですので、右側で噛めるようになれば左下1234の治療を紹介先の先生にしていただきます)
- 最終の仮歯に上顎がかわり、その後最終補綴物ができあがります。
|
|
3/31
|
 |
|
顎はつぶれています。
|
|
4/31
|
|
|
|
右上に埋入後、前歯部には骨を足してへっこまないようにして仮歯をつけています。
|
|
5/31
|
|
|
右上、右下に仮歯が入った写真です。
かみあわせの高さは最終に近いものになっています。
左側は素のままです。 |
|
6/31
|
|
|
| 左上真ん中あたりがへこまないように
代用骨を足しています。 |
|
8/31
|
|
|
|
左上真ん中あたりがへこまないように
代用骨を足しています。
|
|
9/31
|
|
|
|
3回目の仮歯です。ゴールが見えてきましたが左上前歯2本の深い傷があります。
|
|
11/31
|
|
|
| 吉本歯科(東予)
CLINIC INFOMATION |
 |
吉本歯科(東予)
インプラント・矯正歯科・歯科
愛媛県西条市北条1651-3
TEL.0898-64-0576(予約制) |
|
|
| よしもと歯科(小松)
CLINIC INFOMATION |
 |
よしもと歯科(小松)
歯科・小児歯科
愛媛県西条市小松町新屋敷甲470-3
TEL 0898-72-6420(予約制) |
|
|
|