|
| P.I.B ジルコニア(トゥースタイプ) 愛媛県今治市
48歳 女性 |
 |
|
ご紹介の患者さんです。 現存の歯牙よりもお口の中を白く見せたいと希望され来院されました。
作製物 ●上顎はプロセラインプラントブリッジジルコニア ポーセレン貼り付けタイプ (公に出せるものとしては日本で初めて咬合面までジルコニアで作成したものです)
●下顎はマグネット式入れ歯 治療計画 上顎54・45に4本埋入 術後プロビーは右上67左上6で仮着 下顎4・4に埋入 暫間義歯を同時セット
| | 1/14 |
 |
右上5、左上5抜歯即54・45に埋入 右上67、左上6即時プロビーを仮着 |
| 2/14 |
| | 初診時の口腔内写真です。上顎前歯部のブリッジが抜歯されています。
基本的には抜歯前の状態で紹介いただく方が治療しやすい場合が多々あります。 | |
3/14 |
| | 上顎に4本インプラント体が埋入されました。仮歯が入っていますので歯抜け状態にはなっていません。
幸い、動揺歯ですが仮歯の支台としては右上67、左上6の歯が使用できますのでインプラント体に負荷はかけていません。 いずれ右上6左上6はインプラントに変更されます。 | 4/14 |
| | | 術後の仮歯の状態です。もちろんしっかり噛めます。 |
| 5/14 |
| |
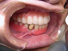
| 下顎右下4左下3に埋入されました。現時点では既存の義歯を使用します。 |
| 6/14 |
| | ファイナルの仮歯です (右上のピンク色の部分・最長で10ミリ近くあります。本物の歯と比較しますから長さをよく覚えておいてください。
上二つは最終的な咬合高径をとるものです) | | 7/14 |
| | | 上顎がファイナルのプロビーです。 下顎は二回目の暫間義歯です。 |
| 8/14 |
| | 上顎のプロセラインプラントブリッジジルコニアです。ピンク部分が2〜3ミリになりました。
| | 9/14 |
| | 最終補綴物です。 ポーセレンがピンク部分を含めて貼り付けているだけです。
現在はジルコニア部分にホワイト色以外にA2・A3色も 使えるようになりましたのでより審美性が調和されるように なりました。 |
| 10/14 |
| |
| 喫煙の方ですので、右上67左上6はいずれ喪失します。ハイブリットで作製しております。 |
| 11/14 |
| |
きわめて明るい歯牙がセットされております。本人さんも大変満足されております。
今後は下顎にまたプロセラインプラントブリッジジルコニアに変更するとピンク色が少なくなり、 さらに鮮明な歯牙が作製されます。 |
| 12/14 |
| | とてもきれいなスマイルが作れました。
とても美人の方ですので歯牙も明るくきれいになり本人さんもとても満足されています。 | |
14/14 | |
|
| 吉本歯科(東予) CLINIC
INFOMATION |
 | 吉本歯科(東予)
インプラント・矯正歯科・歯科 愛媛県西条市北条1651-3 TEL.0898-64-0576(予約制) |
| |
| よしもと歯科(小松)
CLINIC INFOMATION |
 | よしもと歯科(小松)
歯科・小児歯科 愛媛県西条市小松町新屋敷甲470-3 TEL 0898-72-6420(予約制) | |
| |