|
| インプラントと歯列矯正 愛媛県西条市 60歳 女性 |
 |
|
|
見てわかるように上下とも出っ歯で奥歯もなく、見かけも悪くとても気の毒な状態です。
治療方針はインプラントと矯正で薦めていく予定です。インプラントは右上に2本・左上に1本の予定ですが、
動揺歯が増えれば、ブリッジ(橋かけ)は禁忌ですのでインプラントの本数が増えることを承諾していただいて始めました。
インプラントを固定源に使えますのでよりきれいなゴールになります。矯正治療自体で歯が抜けることはありませんが重度の歯槽膿漏を改善してから始まります。
治療計画
1.右上67インプラント埋入 2ヶ月待って固定源にします。
2.右上6番に仮歯をはめ、矯正を開始します。
3.下顎をまずきれいに矯正したあと、上顎小・大臼歯のレベリング
4.左上4番インプラント体を埋入
5.上顎犬歯の引き込み
6.上顎切歯・側切歯を引っ込めます。
保定にいくまでに3年から4年かけてゆっくり矯正していきます。 |
|
1/12
|
|
|
| 前方から見た状態です。かみ合わせも深く、顎の不調和も訴えています。
上下出っ歯という状態です。 |
|
2/12
|
|
|
| 重度の歯槽膿漏で奥歯で噛めない患者さんです。顎にも不調を訴えています。かみ合わせを確立するために右上にインプラント体が埋入されました。
左上にも矯正治療途中にインプラントを埋入予定です。 |
|
3/12
|
|
|
|
治療途中です。左下の奥から2番目にかなり動揺がありますので
ブラケットを外しています。 仮歯を入れていますが噛まないようにもしています。 |
|
4/12
|
|
|
|
左上の側切歯・犬歯の動揺が激しくなり、こちら側には最大限の固定源は必要ありませんが
左上3番が並んできましたので、この時点で左上4番目にインプラント体を埋入しています。
左下5番目は動揺も止まり、何とかインプラントに置き換えずにすみそうです。 |
|
5/12
|
|
|
下顎の咬合平面が確立され、上顎も切歯・側切歯が改善された状態です。
ここまでくると一安心ですが右の上顎切歯から左の上顎犬歯の動揺は続いています。
左上4番の隙間は充分確保されています。
右下の6番大臼歯も動揺してきたのでブラケットを外しています。 |
|
6/12
|
|
|
|
上顎の前4本を引っ張り込んでいます。通常の力よりもやわらかい力で時間をかけています。
ただし下の前歯と当たってきているので上の前歯6本には動揺が出ています。 |
|
7/12
|
|
|
|
下側はすでに外して臼歯部にはやさしいかみあわせのハイブリットが入っています。
左上前歯3本は相変わらず動揺しています。 |
|
8/12
|
|
|
|
かみあわせのアップができましたので下の前歯も見えてきました。
|
|
9/12
|
|
|
|
顎の位置関係もとても良くなっています。以前の主訴の痛み・音もなくなりました。
|
|
10/12
|
|
|
|
外したところです。臼歯部には下顎と同じくハイブリットが入っています。
咬合調整が終わるころには左上の側切歯・犬歯の動揺もなくなりました。
保定装置は上顎のみです。 |
|
11/12
|
|
|
|
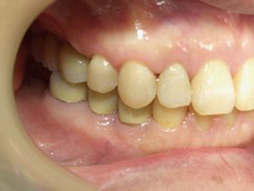
前歯がきれいに見えていますね。本人さんもとても喜んでいらっしゃいます。
とても素敵な笑顔になりました。 |
|
12/12
|
|
|
| 吉本歯科(東予)
CLINIC INFOMATION |
 |
吉本歯科(東予)
インプラント・矯正歯科・歯科
愛媛県西条市北条1651-3
TEL.0898-64-0576(予約制) |
|
|
| よしもと歯科(小松)
CLINIC INFOMATION |
 |
よしもと歯科(小松)
歯科・小児歯科
愛媛県西条市小松町新屋敷甲470-3
TEL 0898-72-6420(予約制) |
|
|
|