|
| 上顎前歯部インプラント使用後、オールセラミック装着使用例 |
| オールセラミック治療の流れ 愛媛県西条市 65歳 男性 |
|
|
とてもかみ合わせのきつい方です。
天然歯が動揺すればインプラント体に置き換えることを薦めています。
治療計画
1.右上5番インプラント体埋入
2.必要な臼歯部は天然歯と同じ硬さといわれている、やわらかいハイブリットに置き換えます。
3.臼歯部のかみ合わせが確立された後、右上1左上1の抜歯、3から3のオールセラミックのブリッジにかえます。 |
|
1/7
|
|
|
|
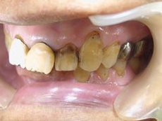
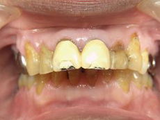
術前のお口の中の写真です。
男前が台無しです。
|
|
2/7
|
|
|
|
 |
 |
| 出来上がったオールセラミックブリッジです。
|
ジルコニアのフレームです。とても透き通って強くて綺麗です。 |
|
|
|
形成した模型です。生活歯ですが、なるべく角をとって丸めます。
|
|
|
4/7
|
|
|
| 上の前歯部の完成体(オールセラミック)です。とても軽くてきれいでしかも硬くて強い歯です。
|
|
5/7
|
|
|
|
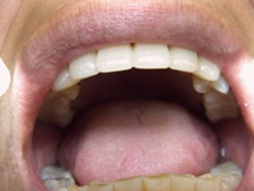
術後の写真です。男前がより男前になりました。下の前歯はまだきれいにしていません。
|
|
6/7
|
|
|
|
お口の中です。歯茎部もラインが整ってとてもきれいです。
|
|
7/7
|
|
|
| 吉本歯科(東予)
CLINIC INFOMATION |
 |
吉本歯科(東予)
インプラント・矯正歯科・歯科
愛媛県西条市北条1651-3
TEL.0898-64-0576(予約制) |
|
|
| よしもと歯科(小松)
CLINIC INFOMATION |
 |
よしもと歯科(小松)
歯科・小児歯科
愛媛県西条市小松町新屋敷甲470-3
TEL 0898-72-6420(予約制) |
|
|
|