|
|
上顎の2〜3の間に両側とも隙間がありますので、4番の抜歯はありません。 左下5番はもちませんので抜歯即埋入 1月待って固定源として使用します。
インプラントを用いることによりスペースのロスがほとんどなくてすみます。 術後がいっそうきれいに仕上がります。 |
| 1/13 |
| |
| 顎位の前方転移により顎関節症も併発しています。 |
| 2/13 |
| | 幸い2〜3の間に充分な隙間が確保できましたので非抜歯の症例です。
顎関節症もありますので、充分顎位を挙上します。 残念ながらこの写真は噛みこんでいません。 術前はまったく下顎の前歯は見えません。 |
| 3/13 |
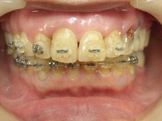
| | 上顎の前歯部2〜2はすでに後方に直立しつつあります。
左下5番は固定源としてインプラント上部に仮歯をセットして用いています。 | 4/13 |
| | 上顎は2〜2を舌側側にアップライトしています。
下顎はほとんどきれいに並びました。 | | 5/13 |
| | 下顎の前歯も臼歯部の挙上にともない
見えています。 このころになると顎関節音も小さくなります。 | | 6/13 |
| | 下顎前歯部が見えてきました。顎関節音もほとんどしなくなりました。 |
| 7/13 |
| | 先ほどの写真の続きです。充分挙上されたのがわかると思います。 |
| 8/13 |
| | 装置が外されました。前歯部分はCRで、臼歯部はハイブリットです。 |
| 9/13 |
| |
| かわいい笑顔が作れるようになりました。 |
| 11/13 |
| |
| ブラケットをはってますが最終に近いパノラマ写真です。 |
| 12/13 |
| |
| 吉本歯科(東予)
CLINIC INFOMATION |
 | 吉本歯科(東予)
インプラント・矯正歯科・歯科 愛媛県西条市北条1651-3 TEL.0898-64-0576(予約制) |
| |
| よしもと歯科(小松)
CLINIC INFOMATION |
 | よしもと歯科(小松)
歯科・小児歯科 愛媛県西条市小松町新屋敷甲470-3 TEL 0898-72-6420(予約制) | |
| |