|
| 愛媛県西条市 57歳 女性 |
|
|
 |
|
|
|
 |
|
|
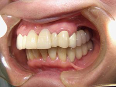
かみ合わせ,顎関節症 治療前
|
|
かみ合わせ,顎関節症 治療後
|
| 吉本先生が治療内容を丁寧に説明して下さいましたし、不安に思ったことには何でも答えて下さるので安心して治療が受けられました。かみ合わせが改善されこんなにキレイな歯並びになり、心からうれしく思っています! |
|
|
|
| 愛媛県今治市 56歳 女性 |
|
|
 |
|
|
|
 |
|
|
かみ合わせ,顎関節症 治療前
|
|
かみ合わせ,顎関節症 治療後
|
| かかりつけの先生から、かみ合わせ治療専門医の吉本先生を紹介していただきました。今までかみ合わせる奥歯がないせいか顎まで痛くなりとても辛かったです。それがうそのように左右しっかり噛めるようになって顎の痛みや、それからくる肩こりや頭痛もすっかりなくなりました!吉本先生ありがとうございました!心から感謝しております。 |
|
|
|
|
|
| 吉本歯科(東予)
CLINIC INFOMATION |
 |
吉本歯科(東予)
インプラント・矯正歯科・歯科
愛媛県西条市北条1651-3
TEL.0898-64-0576(予約制) |
|
|
| よしもと歯科(小松)
CLINIC INFOMATION |
 |
よしもと歯科(小松)
歯科・小児歯科
愛媛県西条市小松町新屋敷甲470-3
TEL 0898-72-6420(予約制) |
|
|
|