|
| かみ合わせ治療,顎関節症 愛媛県西条市 57歳 女性 |
|
|
重度の歯槽膿漏の方です。
治療計画
1.左上前歯部から奥歯に関して骨の造成
2.左下の補綴物の入れ替え
3.今回左上前歯部の骨の移植は話し合いのうえ、上の前歯部が動揺してから行うようにしました。
4.左上上顎洞挙上と顎堤骨造成
5.左上臼歯部にインプラント埋入 半年後左側臼歯部のかみ合わせの確立
6.右下臼歯部インプラント埋入 右上5番抜歯後即インプラント埋入
7.さらに2ヵ月後右側のかみ合わせの確立 |
|
1/12
|
|
|
|
仮歯がはいっています。左上奥歯は外してオペに備えています。
|
|
3/12
|
|
|
左上奥歯抜歯即埋入および上顎洞挙上手術を行っています。
そのあとあけたところに代用骨を詰めていきます。 |
|
4/12
|
|
|
|
左上にインプラント体が入りました。上前歯は仮歯です。
|
|
5/12
|
|
|
左下に最終補綴物、右下に最終仮歯を入れて咬合平面を確立します。
続いて上前歯Brが作成されます。 |
|
6/12
|
|
|
|
右下に2本入りました。同時に仮歯をつけて右側でしっかり噛めるようにしています。
|
|
8/12
|
|
|
右上にインプラント体が入りました。下顎はすでに最終補綴物が入っています。
咬合平面も整ってきました。左上も確立されました。
治療開始より8ヶ月たっています。 |
|
10/12
|
|
|
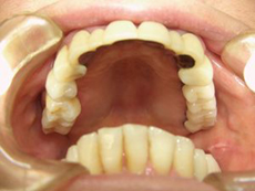
さらに2ヶ月後、右上5番に最終補綴物仮着、完成です。
今後左上3・4が動揺すれば抜歯をし同時に右下からブロック骨を採取し、左上の3・4に移植造成をします。
右上3・4破折すれば骨の造成をし保持をします。2回ぐらい上の前歯に弁の増生も必要になるでしょう。 |
|
11/12
|
|
|
| 吉本歯科(東予)
CLINIC INFOMATION |
 |
吉本歯科(東予)
インプラント・矯正歯科・歯科
愛媛県西条市北条1651-3
TEL.0898-64-0576(予約制) |
|
|
| よしもと歯科(小松)
CLINIC INFOMATION |
 |
よしもと歯科(小松)
歯科・小児歯科
愛媛県西条市小松町新屋敷甲470-3
TEL 0898-72-6420(予約制) |
|
|
|