|
| インプラントと歯列矯正 愛媛県今治市 58歳 女性 |
 |
|
|
重度の歯槽膿漏です。奥歯がないために顎にいろいろな問題を抱えています。来院時はとてもつらそうな顔をされていました。
患者さんには今抱えている問題は必ず改善されます。納得していただいてから下記のような治療計画をつくりました。
治療方針は大きく分けて二通りになります。治療途中で矯正治療を並行していくか、矯正治療は今回保留してかみ合わせと顎の治療をするか、
彼女は後者を選ばれました。
治療計画
1.左上抜歯同時に上顎洞挙上さらにインプラント体の埋入
2.2ヵ月後下顎抜歯同時にインプラント体の埋入 仮歯の装着 左側にある程度のかみ合わせをつくります。(左上奥まではつくれません)
3.右側右上臼歯部の根治を紹介先の先生にお願いし、右側にクリアランス(顎間の隙間)をつくります。
4.右下臼歯部に埋入即仮歯 左側よりしっかりかめる状態をつくります。
5.1ヵ月後右側に最終補綴物を装着します。
6.最初から5ヵ月後左下臼歯部に最終補綴物を装着します。
7.さらに1ヵ月後左上臼歯に最終補綴物を装着し、咬合調整に移ります。
8.とてもきれいな笑顔ができました。 |
|
1/15
|
|
|
| 左上抜歯同時に上顎洞挙上術を行っています。右上の青白い部分を開窓し、
そこに代用骨を置いてインプラント体の埋入を待ちます。 |
|
3/15
|
|
|
|
左上に埋入された後です。充分挙上されています。
|
|
4/15
|
|
|
|
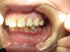
術前のお口元の写真です。上下の前歯は噛みこんで見えません。
|
|
5/15
|
|
|
|
上の前歯が開いているのを覚えておいてください。
|
|
7/15
|
|
|
| 顎の間に充分隙間ができました。噛みにくい・寝にくい・顎がだるい、すべて改善されています。
音もなく、痛みもなく、お口も充分開きます。 |
|
8/15
|
|
|
|
左下に2本埋入、右上奥歯2本が根っこの治療を終えています。
|
|
9/15
|
|
|
|
インプラント体が計7本埋入されました。右側の方が良く噛める状態です。
|
|
10/15
|
|
|
|
さらに左右で噛めるようになってきました。
|
|
11/15
|
|
|
|
左上の補綴物です。芯棒はコンピュータで作成しますので 口腔内の調整はとても楽に済みます。 |
|
12/15
|
|
|
|
術後の口腔内写真です。充分挙上されました。
|
|
13/15
|
|
|
|
全体に歯が入った状態です。さらに入念なかみ合わせの調整は必要です。
|
|
14/15
|
|
|
完成しました。患者さんも以前の不愉快な思いがまったくなくなり、とても素敵な笑顔が
のぞくようになりました。とても喜んでらっしゃいます。
上の前歯部も見えています。さらに正中の隙間もなくなりました。
今後本人が望まれるならば右上の4番は抜歯、左上の4番はカット、上顎は矯正治療をして、下顎の1,1はオールセラミックでねじれと審美面をを整えていけば
よりきれいな口元になります。 |
|
15/15
|
|
|
| 吉本歯科(東予)
CLINIC INFOMATION |
 |
吉本歯科(東予)
インプラント・矯正歯科・歯科
愛媛県西条市北条1651-3
TEL.0898-64-0576(予約制) |
|
|
| よしもと歯科(小松)
CLINIC INFOMATION |
 |
よしもと歯科(小松)
歯科・小児歯科
愛媛県西条市小松町新屋敷甲470-3
TEL 0898-72-6420(予約制) |
|
|
|