|
|
|
| 下顎に芯棒が入った状態です。コンピュータで作成していきますので精度がとても高いです。
臨床的には下顎のフルのMBをのっけるだけです。もちろん上下の入念な調整は必要です。 |
|
11/21
|
|
|
| 下顎はフルのMB、上顎は少し切端咬合気味ですが、咬合高径はゴールのものに近いです。 |
|
12/21
|
|
|
|
上下の高さはこのようにしてきちっと再現していきます。
|
|
14/21
|
|
|
|
咬合器上で上下の関係を再現したものです。
|
|
15/21
|
|
|
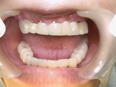
上下ともに歯が入りました。患者さんもとても喜んでらっしゃいます。
上側の歯茎の位置も変わりありません。
審美的にもとてもきれいで笑顔もとても素敵です。 |
|
16/21
|
|
|
|
上顎のMBです。上顎前歯・歯茎のところもとてもきれいです。
|
|
18/21
|
|
|
| 吉本歯科(東予)
CLINIC INFOMATION |
 |
吉本歯科(東予)
インプラント・矯正歯科・歯科
愛媛県西条市北条1651-3
TEL.0898-64-0576(予約制) |
|
|
| よしもと歯科(小松)
CLINIC INFOMATION |
 |
よしもと歯科(小松)
歯科・小児歯科
愛媛県西条市小松町新屋敷甲470-3
TEL 0898-72-6420(予約制) |
|
|
|