|
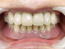
| マグネット式審美入れ歯 愛媛県西条市 60歳 女性 |
|
|
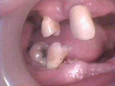
もうぼろぼろです。どこで噛んでいるのかわかりません。とても気の毒です。
治療計画
1.上下噛んでいる歯を残して抜歯即左上5番に埋入
2.上の前歯のみ暫間義歯
3.下顎3・3に埋入
4.さらに1ヶ月後、抜歯即上下にマグネット用義歯を装着します。 |
|
1/7
|
|
|
| 吉本歯科(東予)
CLINIC INFOMATION |
 |
吉本歯科(東予)
インプラント・矯正歯科・歯科
愛媛県西条市北条1651-3
TEL.0898-64-0576(予約制) |
|
|
| よしもと歯科(小松)
CLINIC INFOMATION |
 |
よしもと歯科(小松)
歯科・小児歯科
愛媛県西条市小松町新屋敷甲470-3
TEL 0898-72-6420(予約制) |
|
|
|