|
| マグネット式審美入れ歯 愛媛県西条市 63歳 女性 |
|
|
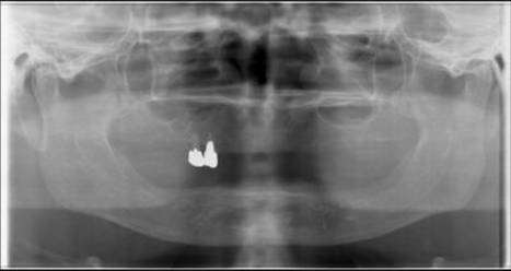
顎堤異常もないとてもきれいなパノラマ写真です。
右上の3・4がだめになって来院されました。
治療計画
1.上下にマグネット用インプラント体埋入
(上顎のインプラントが使用できるのに最低2ヶ月かかりますので上顎の埋入から始めます。1ヵ月後、下顎に埋入します。セットは上下同時に行います。)
2.上下にマグネット用義歯装着 |
|
1/6
|
|
|
| 上顎に埋入されました。上顎の義歯が落ちますのでとりあえず右上の4番を残しています。
|
|
2/6
|
|
|
|
保険の義歯です。右サイドのラインが乱れています。正中もずれています。
|
|
3/6
|
|
|
| 上下に埋入されました。あと1ヶ月もしたらマグネット用義歯の印象ができるでしょう。
|
|
4/6
|
|
|
|
| 下側の旧義歯(右)とマグネット用の下顎の新義歯(左)です。下側もかなり小さくなっているのがわかると思います。 |
マグネット用上下の新義歯です。特に上顎の義歯は下顎の保険の
入れ歯と思えるぐらい小さくなります。上顎に入れ歯を入れて気持ちが悪い方には最適です。インプラント治療の中では低価格で出来上がりますし、
金属床よりもコスト軽減が可能になります。ただし、顎堤異常の方、咬合圧の強い方には割れる可能性が高くなりますので不向きです。左側が上顎、右側が下顎です。
|
|
|
5/6
|
|
|
| 完成しました。正中も合っていて笑顔も素敵になりました。 |
|
6/6
|
|
|
| 吉本歯科(東予)
CLINIC INFOMATION |
 |
吉本歯科(東予)
インプラント・矯正歯科・歯科
愛媛県西条市北条1651-3
TEL.0898-64-0576(予約制) |
|
|
| よしもと歯科(小松)
CLINIC INFOMATION |
 |
よしもと歯科(小松)
歯科・小児歯科
愛媛県西条市小松町新屋敷甲470-3
TEL 0898-72-6420(予約制) |
|
|
|