|
| ボールアタッチメント式入れ歯 愛媛県今治市 55歳 男性 |
 |
|
|
治療計画 1.上下顎にボールアタッチメント式、もしくはマグネット式入れ歯を作成します。上下ともインプラント体は2本ずつで充分です。
(ちなみに上顎をボールアタッチメント式ですべて仕上げる場合は4本必要です。4本入れるのであればAll-on-4をすすめます) 2.下顎前歯全抜歯、3・3の部位にインプラント体の埋入 3.1ヵ月後、抜歯即右下3番ボールアタッチメント式ならびに左下3番マグネット式入れ歯のセット
4.上顎の歯牙が動揺してきたので上顎3・3に埋入 2ヵ月後左上4ボールアタッチメント式、右上4マグネット式入れ歯のセット |
| 1/17 |
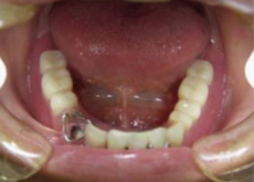
| | | 上下保険の入れ歯です。歯牙の状態も歯茎の状態もかなり悪いです。今回は下顎から始まります。通例では上顎から始めます。(固まるのに上顎のほうが時間がかかるため) |
| 2/17 |
|
| | 下顎3・3に埋入 下の前歯は入れ歯の維持のために残しています。
インプラント体が固まり次第、抜歯即インプラント式総入れ歯のセットになります。 | |
3/17 |
|
| | 審美領域ではありますが入れ歯のセットの場合には骨の造成・保持は考えなくていいです。
固まるのを待っていきます。 | | 4/17 |
| | 下顎埋入後のデジタルパノラマです。3・3にインプラント体を埋入しています。 | 5/17 |
| |
下顎右下3にボールアタッチメント、左下3にマグネット |
| 7/17 |
| | インプラント体がノーベル社の製品の場合、インプラント体はレギュラーネックのものしか使えません。角度が大きい場合(30度前後)、また骨の細い場合、NPのインプラント体を使用した場合はマグネットの高さが3ミリ以上になるのでかなり高くなりますから、マグネットよりも多少遊びが出ますがボールアタッチメントを選択します。 ちなみにインプラント体がストローマン社製ですと1.4ミリからマグネットがありますので高さにおける問題は出にくくなります。
両社製ともマグネット用にフラット・ドームという規格がありますが、角度がつく場合はドーム型を基本にします。下顎においてマグネットおよびボールアタッチメントのインプラント体の必要本数は2本のみです。 |
| 8/17 |
| |
下顎がインプラント用フルデンチャーにかわりました。 | |
9/17 |
| |
| 上顎正中の歯がずいぶん大きく挺出しています。 審美的にも良くないので設計をインプラント用フルデンチャーに変更します。
| | 11/17 |

| |
上顎4・4にインプラント体を埋入しました。右1番左2番はデンチャー完成時に歯冠を削合します。 |
| 13/17 |
| |
上下フルデンチャーの裏面です。どちらが上下かわからなくなるほど小さくなります。 |
| 15/17 |
| |
表面です。ちなみに右が上顎、左が下顎です。 |
| 16/17 |
|
|
とてもきれいなお口元です。正中は上顎が合っていると思います。 |
| 17/17 |
| |
| 吉本歯科(東予) CLINIC
INFOMATION |
 | 吉本歯科(東予)
インプラント・矯正歯科・歯科 愛媛県西条市北条1651-3 TEL.0898-64-0576(予約制) |
| |
| よしもと歯科(小松)
CLINIC INFOMATION |
 | よしもと歯科(小松)
歯科・小児歯科 愛媛県西条市小松町新屋敷甲470-3 TEL 0898-72-6420(予約制) | |
| |