|
 |
治療計画 1.左上前歯部から臼歯部にかけて自家骨(臼後三角から採取した骨)を用いた骨造成をします。
2.左上臼歯部は上顎洞挙上術も並行して行います。 3.上顎に埋入を行います。診断の結果、上顎の埋入予定部位は右上6532・左上356です。
4.落ち着き次第、下顎の抜歯即埋入即プロビジョナルで噛めるようにします。診断の結果、下顎の埋入部位は右下632・左下36です。左下7番は歯牙を使用します。(上下ともインプラント本数は6本以上が必要です)
5.下顎が固まり次第、プロビジョナルからメタルボンドブリッジにかわります。 6.咬合関係をきちんと再現してから、上部構造の印象に移り、メタルボンドブリッジを仮着します。
7.上下噛めるようになるまでに1年半ほどかかります。 | | 1/31 |
| | | 上顎が右上がりになっています。顔を傾けているわけではありません。合わない入れ歯を長期使用することで骨が変形してしまいます。下顎は比較的きれいな骨状態を維持しています。 |
| 2/31 |
| |
暫間義歯をとめるためのインプラントを右上に埋入します。 正中より左側はお見せしたとおり、骨が外垂直的にかなり不足しておりますので骨の造成が必要になります。
外垂直的に増やすためには各種の方法がありますが自家骨をグラフトする方法がもっとも確実性があります。 入れ歯のタイプが顎堤に負担をかけますので、できうれば仮歯を上部につけておく方が吸収が少なくなります。 |
| 3/31 |
| |
| | 左下の臼歯部から骨を採取しているところです。 | 左上前歯部に骨を貼り付けたあとの写真です。 |
| | 4/31 |
 |
| 右側532に埋入、左側前歯部から臼歯部に骨造成ならびに骨の移植を行った後のレントゲン写真です。
| | 5/31 |
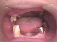
| | | 上顎に骨造成を行った後の口腔内写真です。 |
| 6/31 |
| |
| 上顎(暫間義歯を使用しています)が落ち着いたので、下顎に一挙に埋入ならびに仮歯を入れたレントゲン写真です。
その日のうちに食事が以前よりしっかりとることが可能になります。 | | 7/31 |
| | | Ope後の最初の仮歯が下顎に入っています。
| | 8/31 |
| | |
下顎の咬合高径のとり方と下顎にメタルボンドブリッジが入ったところです。 | |
9/31 |
| |
| 吉本歯科(東予)
CLINIC INFOMATION |
 | 吉本歯科(東予)
インプラント・矯正歯科・歯科 愛媛県西条市北条1651-3 TEL.0898-64-0576(予約制) |
| |
| よしもと歯科(小松)
CLINIC INFOMATION |
 | よしもと歯科(小松)
歯科・小児歯科 愛媛県西条市小松町新屋敷甲470-3 TEL 0898-72-6420(予約制) | |
| |